Before – After Photo treatment
Before
After

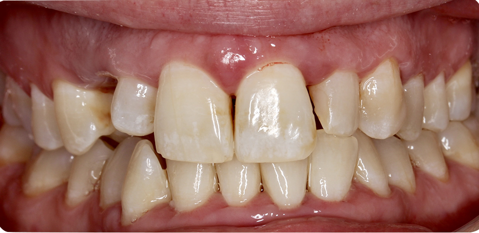
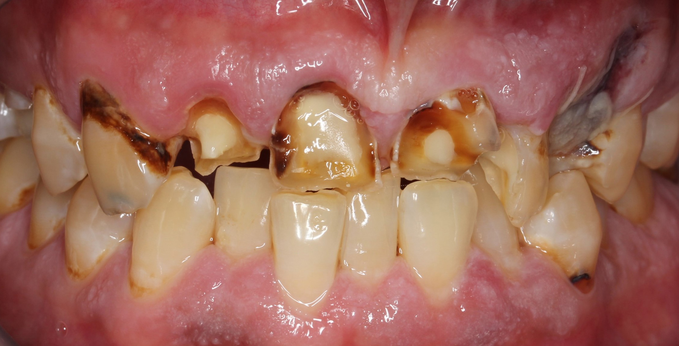
BEFORE
Missing tooth and discoloration

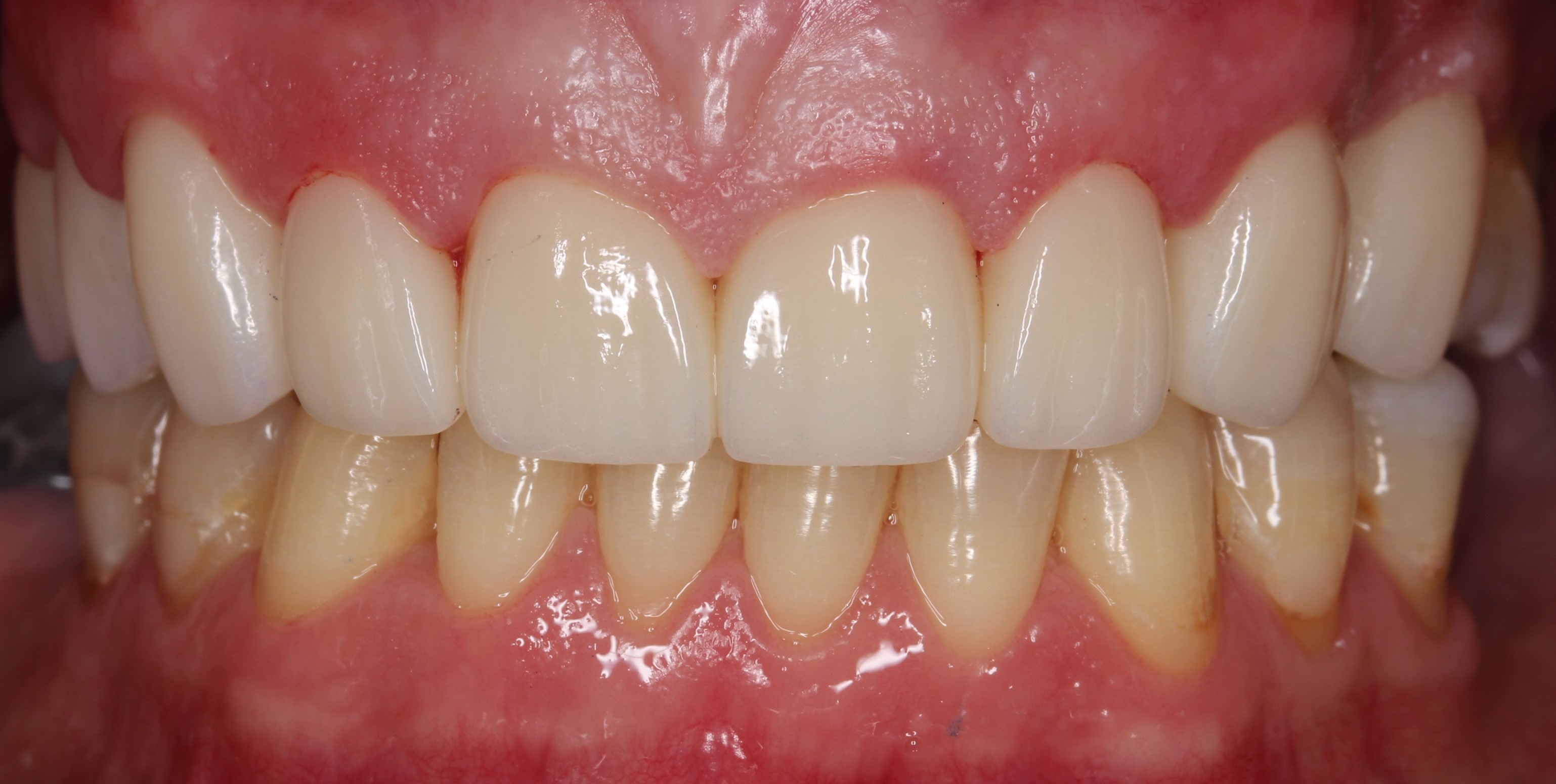
AFTER
Porcelain Bridge and Veneers

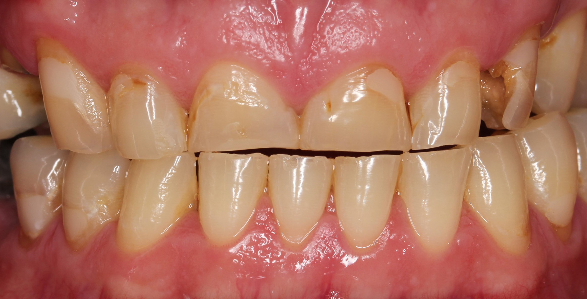
BEFORE
Cosmetic work

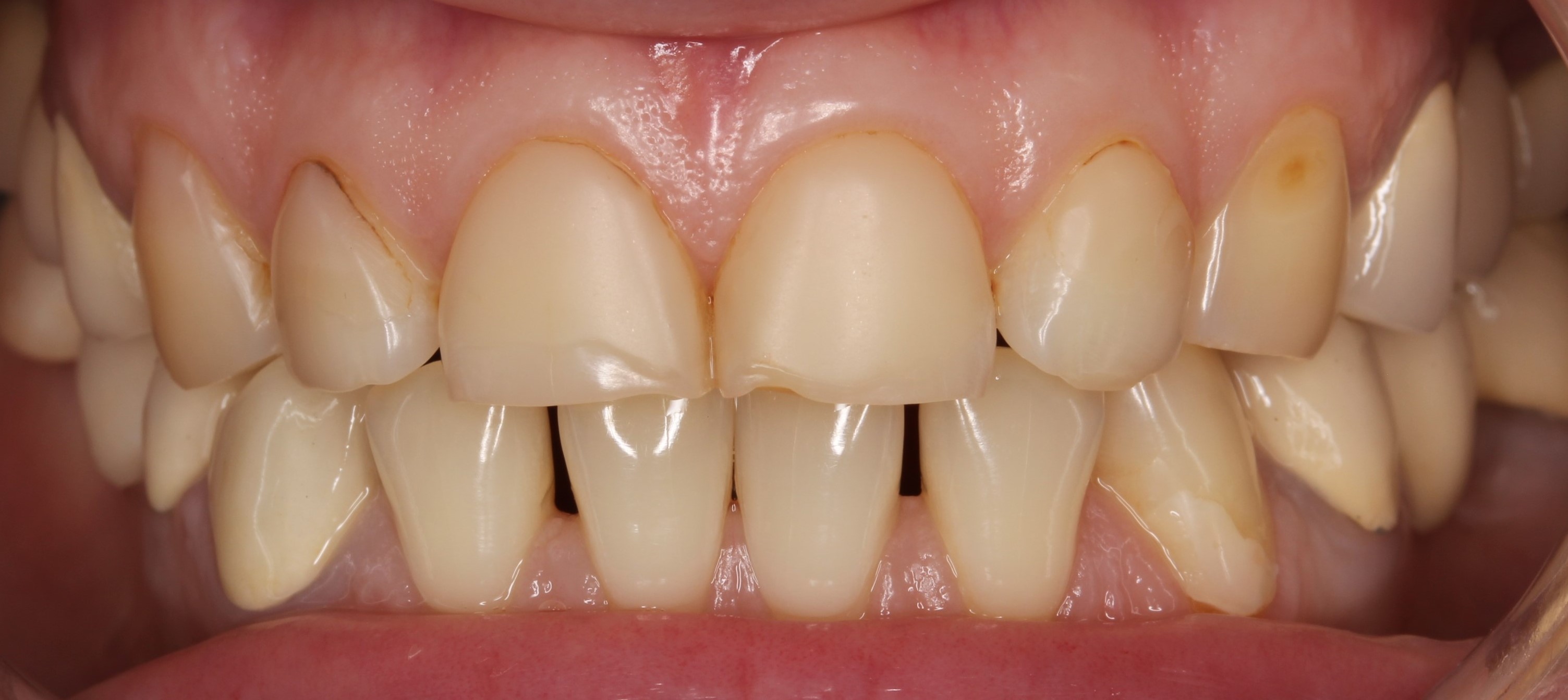
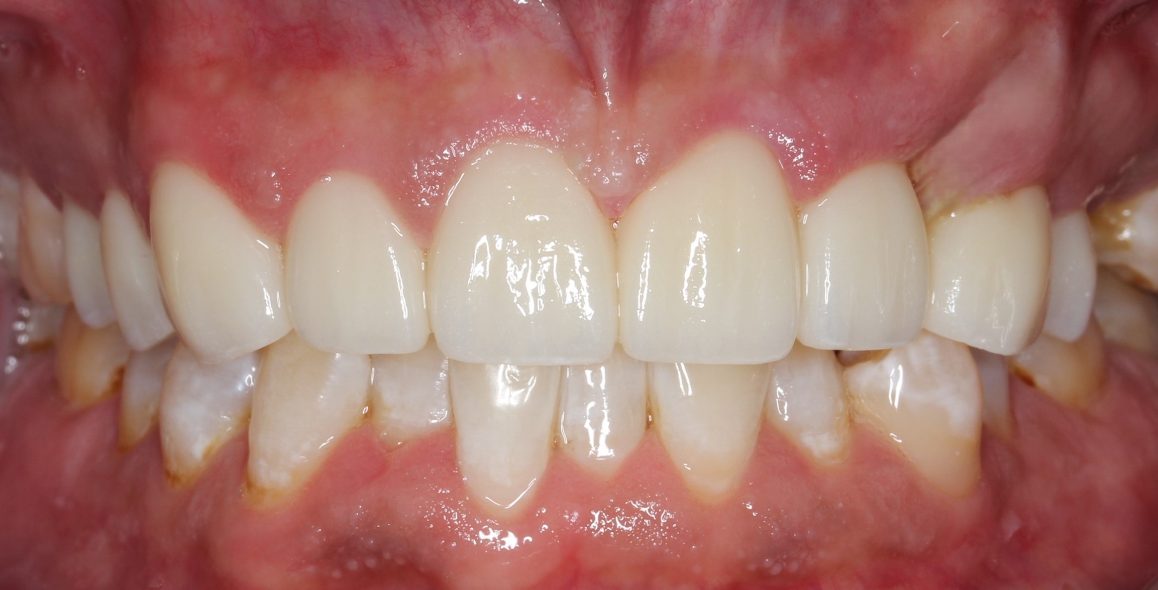
AFTER
Porcelain veneer

BEFORE
Cosmetic work

AFTER
Porcelain veneer

BEFORE
Cosmetic work

AFTER
Porcelain veneer

BEFORE
Cosmetic work

AFTER
Porcelain veneer

BEFORE
Cosmetic work

AFTER
Porcelain veneer

BEFORE
Cosmetic work

AFTER
Porcelain veneer

BEFORE
Cosmetic work

AFTER
Porcelain veneer

BEFORE
Cosmetic work

AFTER
Porcelain veneer

BEFORE
Crooked Teeth

AFTER
Dental Ceramic Veneers

BEFORE
Crooked Teeth

AFTER
Crown Lengthening and Veneers and Crowns

BEFORE
Lost of Dental Structures

AFTER
Dental Rehabilitation with Dental crowns

BEFORE
Twisted and crooked teeth

AFTER
Dental Ceramic Veneers and Crowns

BEFORE
Twisted and crooked teeth

AFTER
Dental Ceramic Veneers

BEFORE
Twisted and crooked teeth

AFTER
Dental Ceramic Veneers

BEFORE
Missing tooth

AFTER
3-Unit Dental Bridges and crown lengthening

BEFORE
Large Old Filling and Tooth Color

AFTER
Dental Ceramic Veneers and Crowns

BEFORE
Broken and old filling

AFTER
Veneer and crown

BEFORE
Cosmetic consultation

AFTER
Veneer and crown

BEFORE
Cosmetic problem

AFTER
Gum surgery and veneer

BEFORE
Diastema

AFTER
Single crown

BEFORE
Missing tooth

AFTER
Dental Bridges

BEFORE
Missing teeth

AFTER
3-Unit Dental Bridges and crown lengthening

BEFORE
Rampant caries

AFTER
Crown

BEFORE
Shape and color

AFTER
Veneer

BEFORE
Shape problem

AFTER
Gum surgery, veneer and crown